Minimally invasive approach to diastema closure using lithium disilicate porcelain veneers: clinical report
DOI:
https://doi.org/10.14295/bds.2018.v21i4.1633Abstract
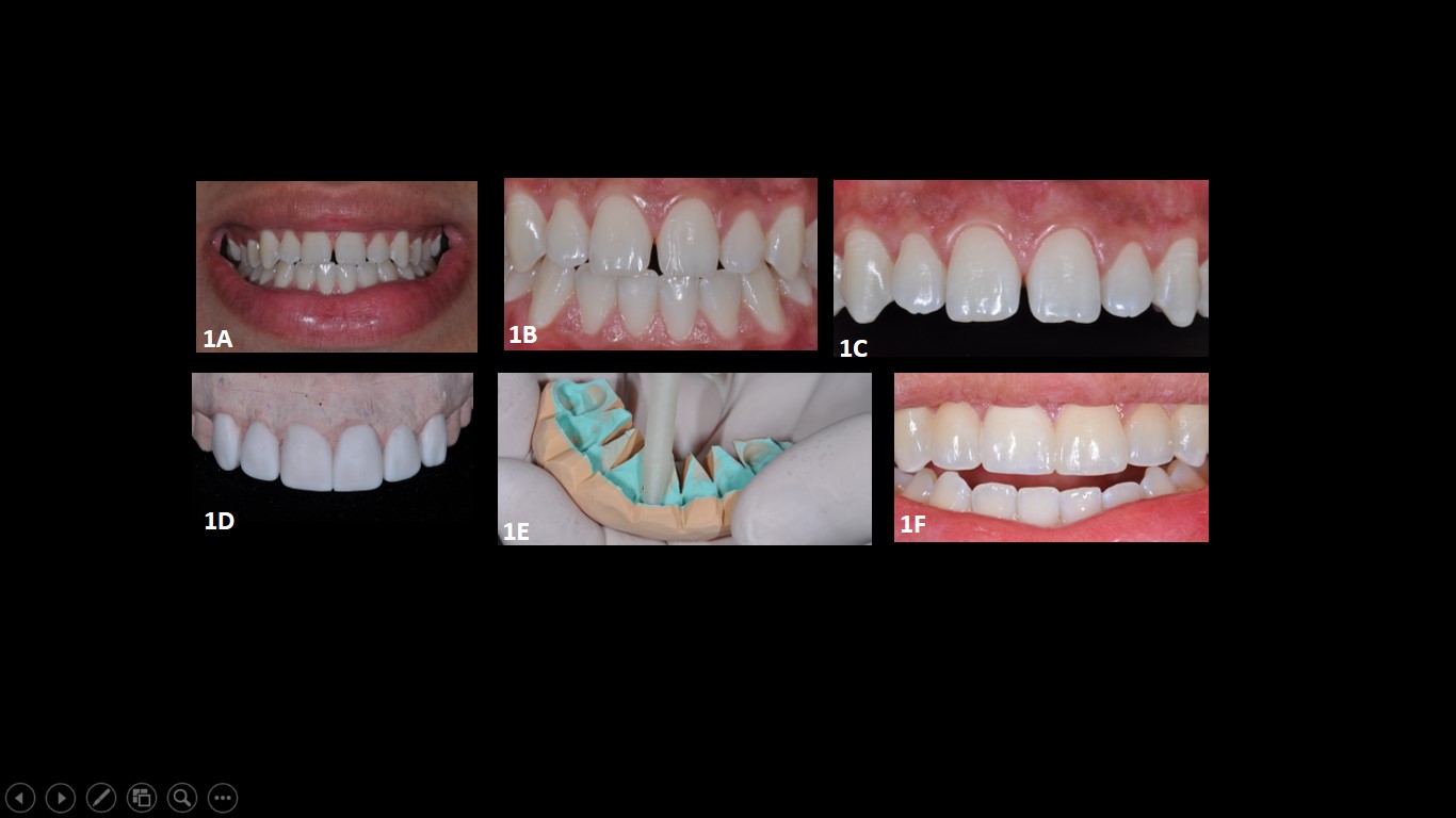
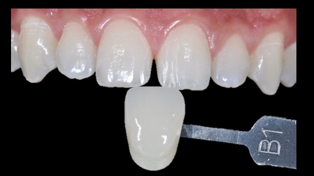
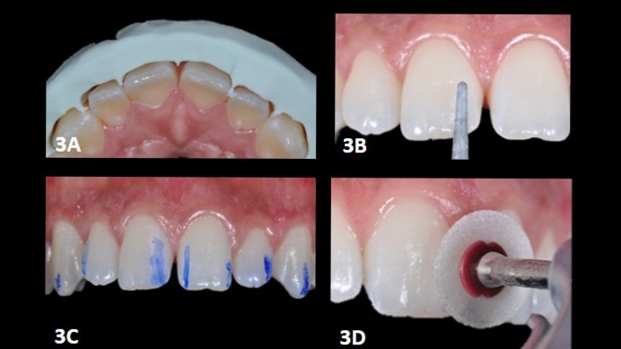
Numerous advances in dentistry techniques and material have allowed patients to have not only a functional but also an aesthetic smile in a conservative way. This case report describes a treatment with ceramic laminates to solve the aesthetic problems of an 18-year-old male dissatisfied with his smile. Following the correct protocols, using minimally invasive abrasions, ceramic laminates, and strong adhesion between porcelain and dental enamel can provide predictable results and clinical longevity through follow-up.
Keywords
Dental veneers; Ceramic; Dental materials.
Downloads
Downloads
Additional Files
Published
How to Cite
Issue
Section
License
Brazilian Dental Science uses the Creative Commons (CC-BY 4.0) license, thus preserving the integrity of articles in an open access environment. The journal allows the author to retain publishing rights without restrictions.
=================





















