Multiple tooth extractions in radiotherapy patients: indications, osteoradionecrosis risk and possible oral rehabilitation: case report
DOI:
https://doi.org/10.14295/bds.2017.v20i1.1284Abstract
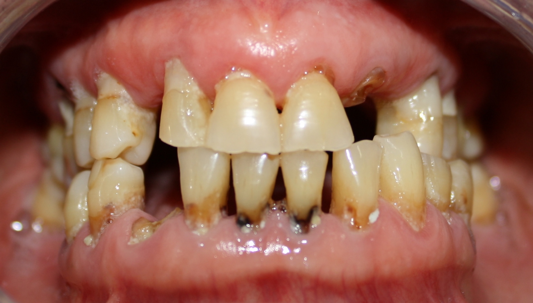
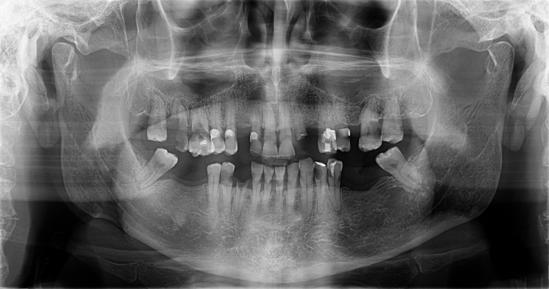
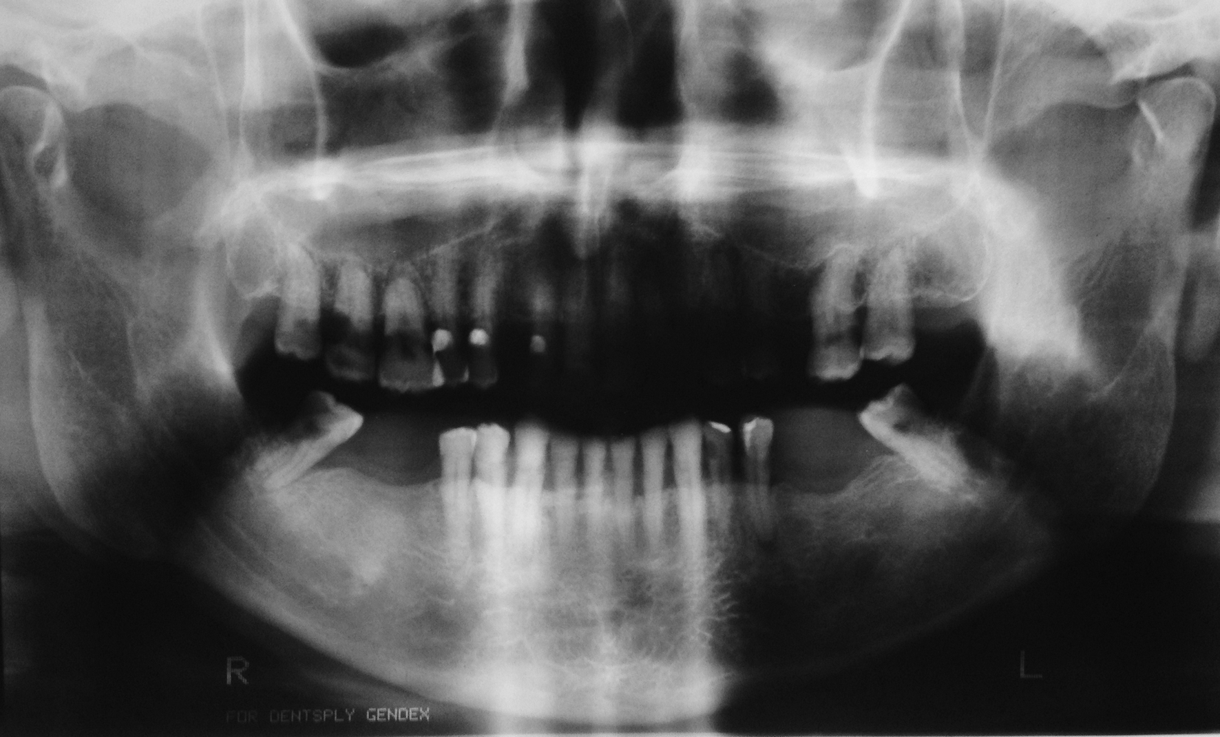
Osteoradionecrosis (ORN) is one of the most severe oral complications after the head and neck cancer treatment. Tooth extraction, through its traumatic stimulation, is identified as an important predisposing factor. Indications and preventive methods for carrying out these procedures in irradiated patients are questioned, thus, establishing appropriate protocols is essential. This article reports a case of multiple tooth extractions in a cancer patient whose preventive measures were taken without the occurrence of complications. Based on a literature review, this paper accounts the appropriate indications of this procedure, the risk of developing osteoradionecrosis, and the prevention possibilities for this sequela. In addition, this report addresses a viable oral rehabilitation alternative after this kind of surgery by using overdenture on the lower jaw teeth.
Downloads
Downloads
Additional Files
Published
How to Cite
Issue
Section
License
Brazilian Dental Science uses the Creative Commons (CC-BY 4.0) license, thus preserving the integrity of articles in an open access environment. The journal allows the author to retain publishing rights without restrictions.
=================





















