Stafne bone defect: a report of two cases and diagnostic considerations
DOI:
https://doi.org/10.14295/bds.2017.v20i1.1294Abstract
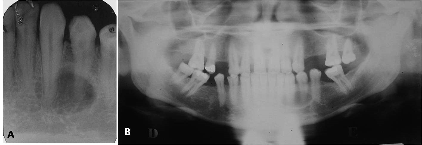
Stafne bone defects are asymptomatic lingual bone depressions of the lower jaw, frequently caused by soft tissue inclusion. The common variant of this entity affects the third molar region, below mandibular canal, and is mostly diagnosed incidentally during routine radiographic examination. The uncommon anterior variant is relatively rare and located in the premolar region of the mandible. Sublingual salivary glands are thought to be responsible for the development of this variant. The aim of this report was to describe a case of Stafne bone defect in the anterior region of mandible and a case in posterior mandible, with emphasis on clinical and radiographic findings. Dental clinicians should be aware of this entity, aiming to avoid unnecessary biopsies. In most cases, clinical and radiographic follow-up is the recommended conduct.
Downloads
Downloads
Additional Files
Published
How to Cite
Issue
Section
License
Brazilian Dental Science uses the Creative Commons (CC-BY 4.0) license, thus preserving the integrity of articles in an open access environment. The journal allows the author to retain publishing rights without restrictions.
=================





















