Diagnosis of a horizontal root fracture during retreatment of a maxillary canine utilizing an electronic apex locator and monitoring with CBCT: a case report
DOI:
https://doi.org/10.14295/bds.2013.v16i4.923Abstract
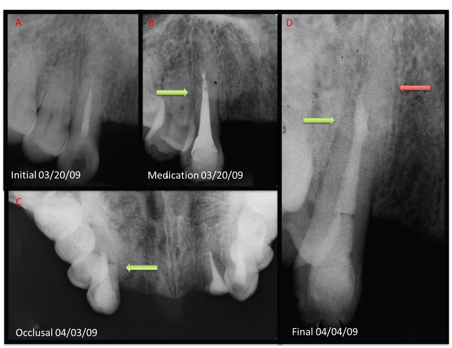
Introduction: The aim of this case report is todemonstrate the retreatment of a maxillary caninediagnosed with a horizontal root fracture utilizingan electronic apex locator and monitored with conebeam computed tomography. Case Report: A 35year old African American male was referred for rootcanal retreatment of a maxillary right canine prior toprosthetic rehabilitation. Following removal of guttapercha, an apex locator was utilized to determine thelength of the root canal. After a more comprehensivedental history, the patient confirmed a previouslyunreported history of dental trauma at this time,leading to the suspicion of a horizontal root fracture.Clinical microscopy detected a connective tissue in theapical third of the root canal and multiple periapicaland occlusal radiographs enhanced visualizationof a horizontal root fracture. The coronal segmentwas filled with an MTA apical plug and the apicalsegment remained stable. A recall after 1.5 yearswas performed with CBCT, which showed no apicalradiolucency. Discussion: The present case reportreinforces the precept that detailed dental history andcareful observation of radiographs are critical factorsfor obtaining an accurate diagnosis. Fundamentaladjuncts, such as microscopy, apex locators andCBCT imaging, can potentially aid in the diagnosisand the subsequent treatment plan of horizontal rootfracture.
Keywords
Cone-beam computed tomography; Apex locator Cuspid; Radiography; horizontal root fracture.
Downloads
Downloads
Additional Files
Published
How to Cite
Issue
Section
License
Brazilian Dental Science uses the Creative Commons (CC-BY 4.0) license, thus preserving the integrity of articles in an open access environment. The journal allows the author to retain publishing rights without restrictions.
=================





















