Histomorphometric, radiographic and biomechanical analyses of platelet rich plasma associated with autogenous bone graft
DOI:
https://doi.org/10.14295/bds.2014.v17i4.998Abstract
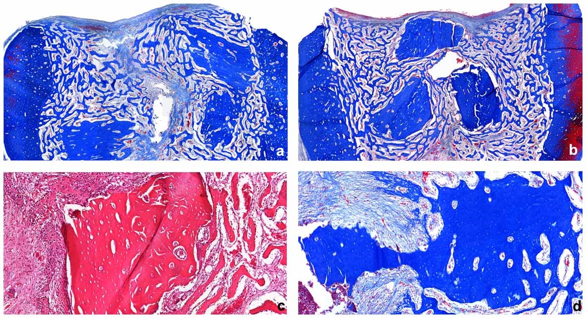
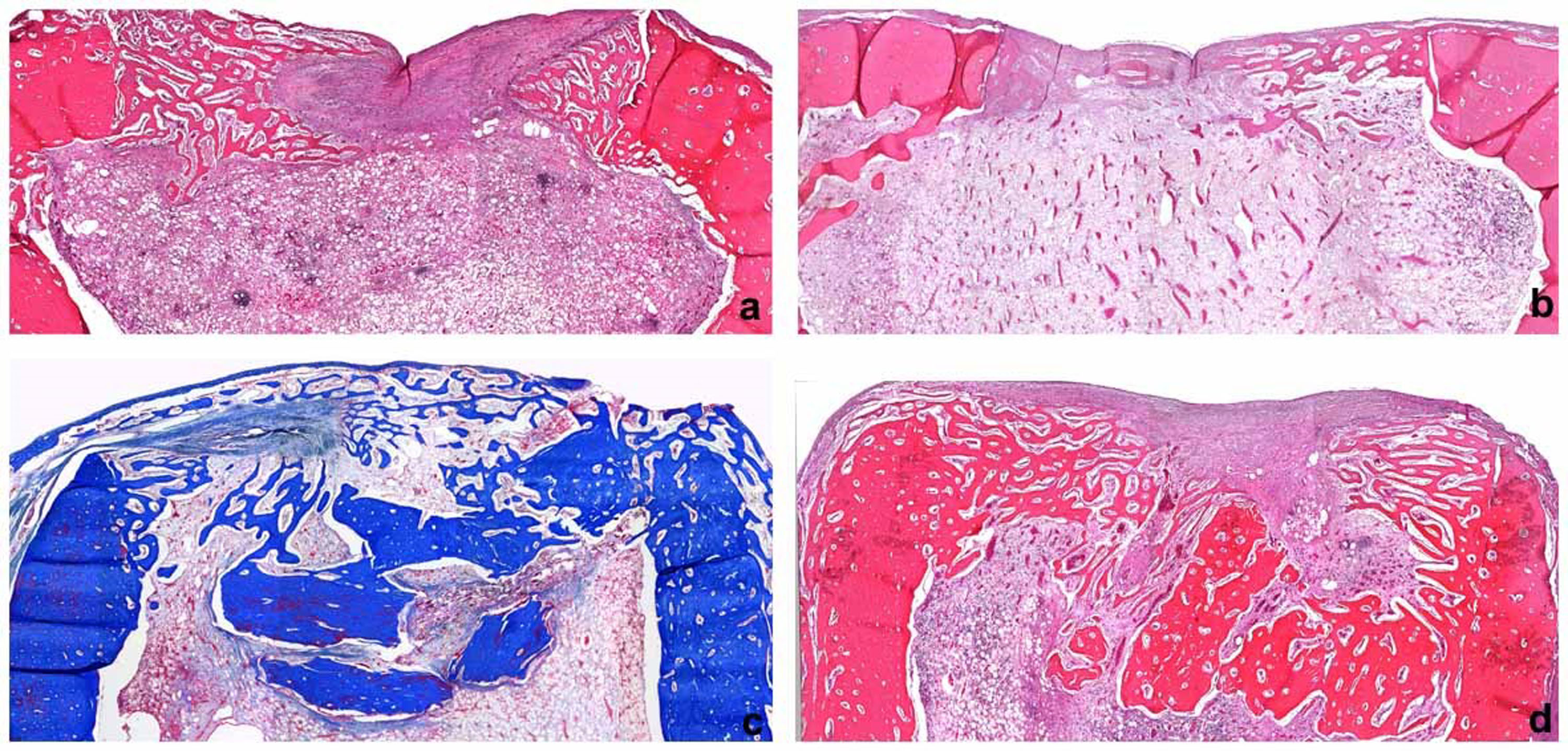
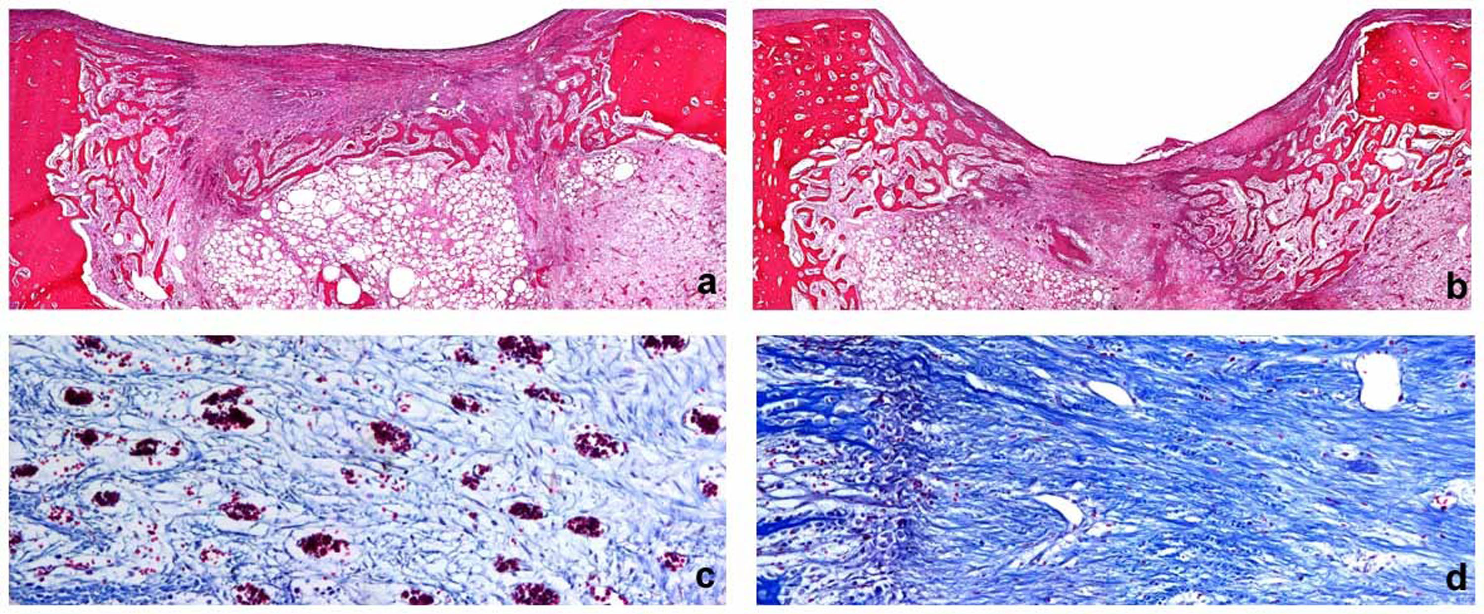
Objective: The aim of this study was to evaluate the effectiveness of platelet rich plasma with and without autogenous bone graft in the bone repair of surgical defects in rabbit tibias. Materials and Methods: In this research, 25 adult male rabbits were used. Two defects have been performed in each tibia, divided into four groups: control (C = defect naturally left to heal by clot formation), autogenous (A = bone defect + autogenous graft), PRP (PRP = bone defect + PRP) and autogenous + PRP (PRPA = bone defect + autogenous graft + PRP). All the defects were covered with a dPTFE membrane. Five other animals were sacrificed at 15, 30, and 60-day postoperatively. The pieces containing the defects were processed for histological and histomorphometric analysis. Other five animals were sacrificed after 30 and 60 days and submitted to biomechanical analysis, and all the specimens were sent to the radiographic evaluation of optical density. Results: The biomechanical, radiographic, and histomorphometric results showed larger resistance, optical density, and improving bone formation in the groups A and PRPA when compared with the groups C and PRP. Conclusion: This study showed there was not an improvement in the radiographic, mechanical, and bone formation parameters when PRP was used individually or associated to the autogenous bone graft.
Downloads
Downloads
Published
How to Cite
Issue
Section
License
Brazilian Dental Science uses the Creative Commons (CC-BY 4.0) license, thus preserving the integrity of articles in an open access environment. The journal allows the author to retain publishing rights without restrictions.
=================





















