New fabrication method using additive manufacturing technologies for the pattern of pressed lithium disilicate onlay restorations
DOI:
https://doi.org/10.14295/bds.2017.v20i4.1364Abstract
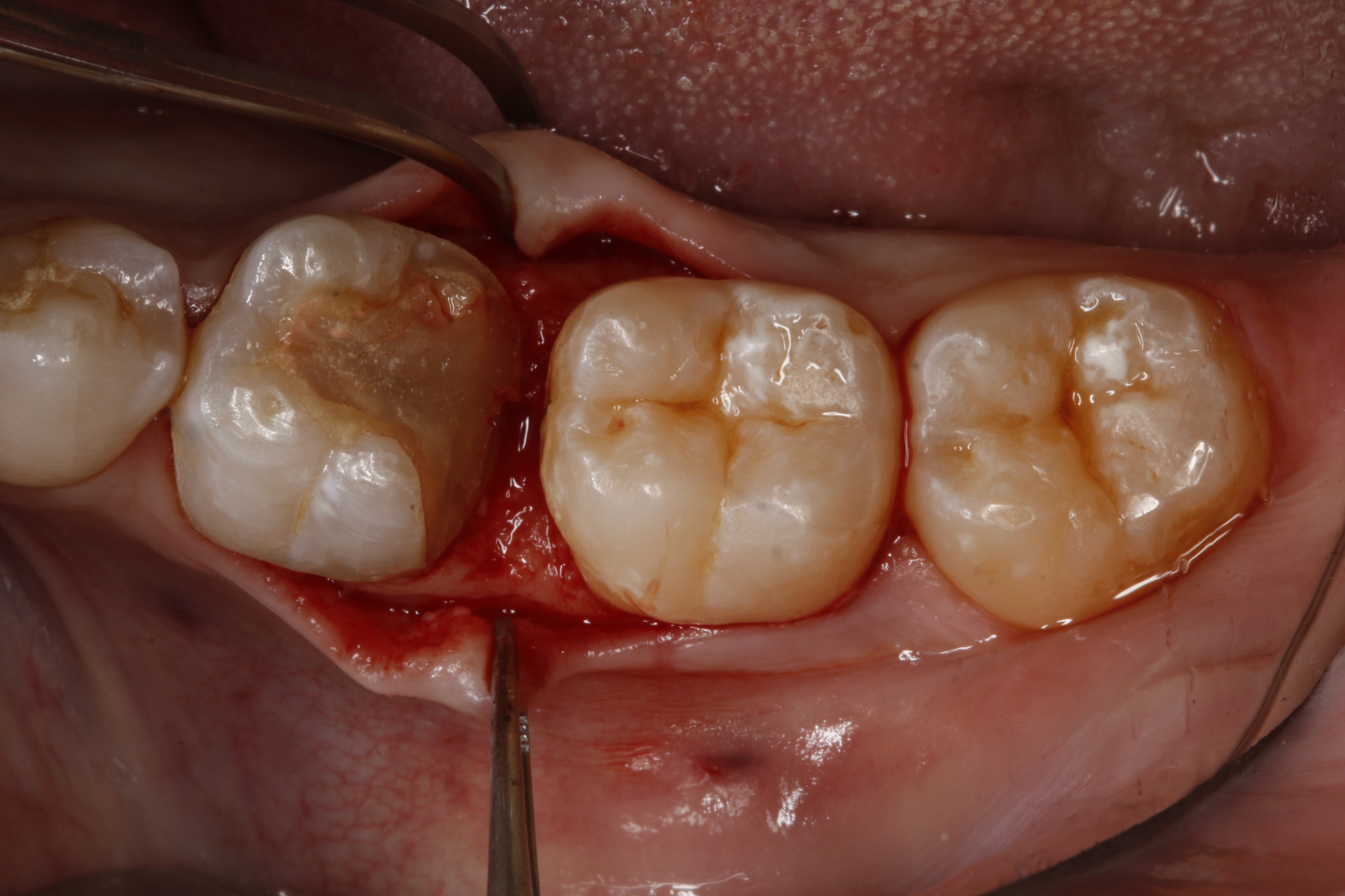
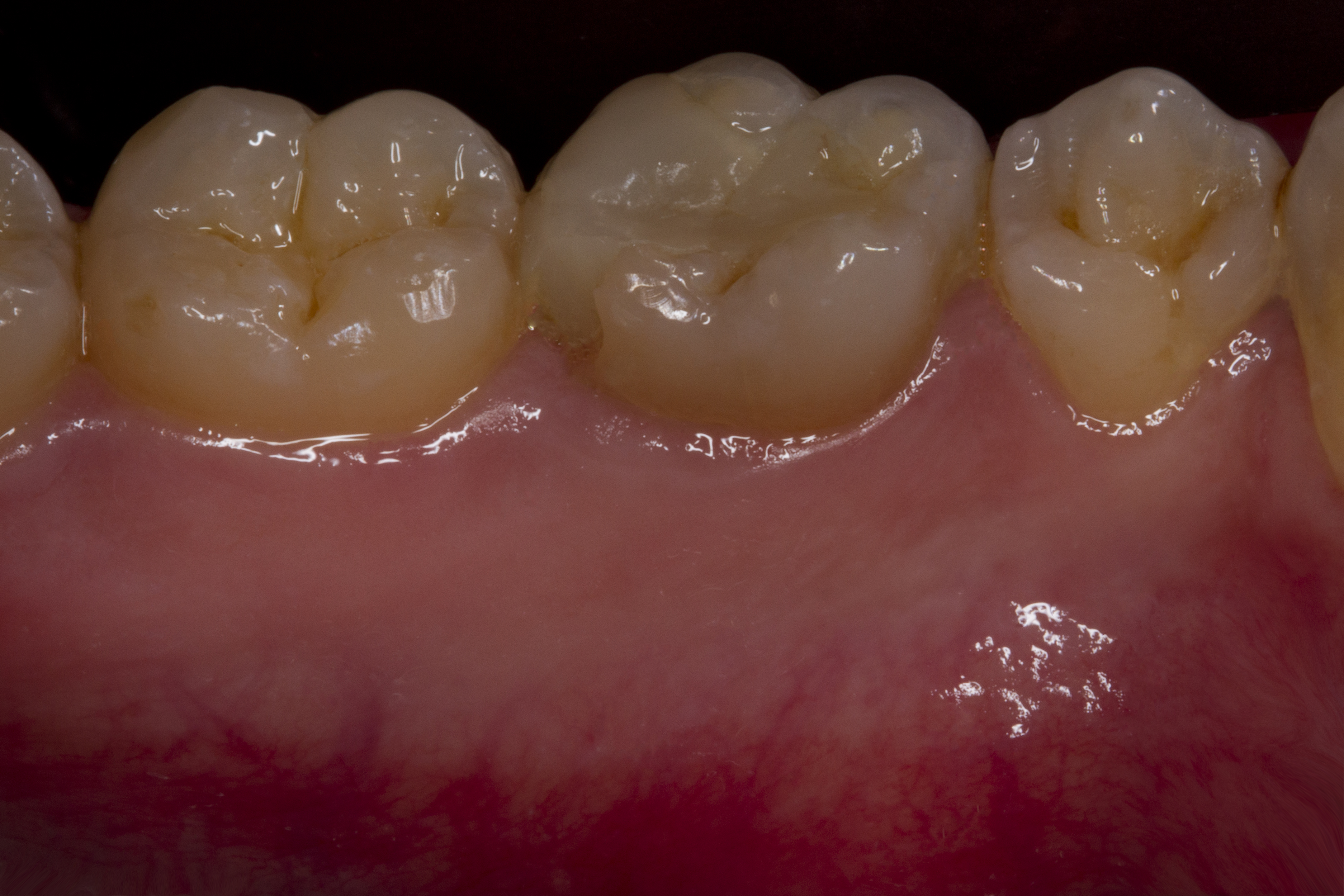
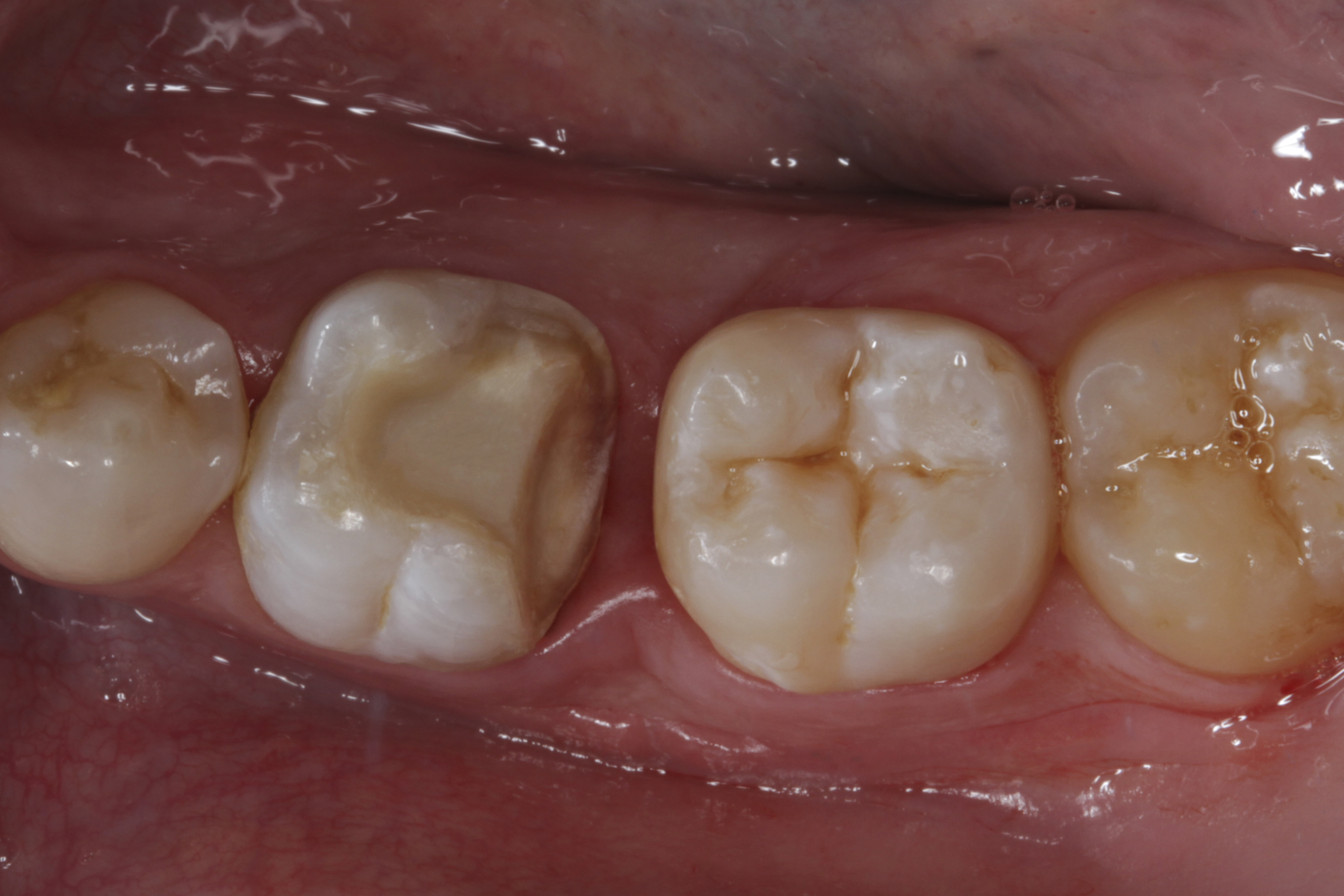
There are 7 categories for the additive manufacturing (AM) technologies and a wide variety of materials that can be used to build a computer aided designed (CAD) 3-Dimensional (3D) object. The present article reviews the main AM processes for polymers for dental applications: stereolithography (SLA), direct light processing (DLP), material jetting (MJ) and material extrusion (ME). The manufacturing process, accuracy and precision of these methods will be reviewed, as well as, their prosthodontic applications.
Keywords: 3D printing; Additive manufacturing technologies; Direct light processing; Fused deposition modelling; Material extrusion; Material jetting; Multijet printing; Prosthodontics; Stereolitography.
Downloads
Downloads
Additional Files
Published
How to Cite
Issue
Section
License
Brazilian Dental Science uses the Creative Commons (CC-BY 4.0) license, thus preserving the integrity of articles in an open access environment. The journal allows the author to retain publishing rights without restrictions.
=================




















