Imperfect osteogenese: child case report
DOI:
https://doi.org/10.14295/bds.2018.v21i3.1561Abstract
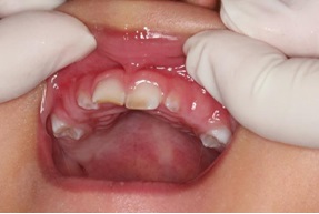
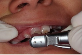
Osteogenesis Imperfecta leads to alterations in type 1 collagen fiber, apart from causing bone fracture, blue sclera and other related deformities. As few medical records are available in the field of dentistry regarding these alterations, having a better understanding of this medical disorder and its dental management has become a matter of extreme relevance if one is to provide adequate treatment for patients suffering from this medical condition. This paper reports the case of a 2-year old patient with Osteogenesis Imperfecta who received treatment as part of the Acolher Project – PNE run by the Federal Fluminense University in Rio de Janeiro, Brazil.
Downloads
Downloads
Published
How to Cite
Issue
Section
License
Brazilian Dental Science uses the Creative Commons (CC-BY 4.0) license, thus preserving the integrity of articles in an open access environment. The journal allows the author to retain publishing rights without restrictions.
=================





















