Mixing failures of endodontic sealers: an in vivo biocompatibility study
DOI:
https://doi.org/10.14295/bds.2017.v20i4.1464Resumo
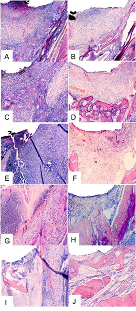
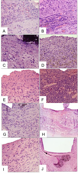
Objective: Evaluate, in vivo, the influence of mixing failures on endodontic sealers. Material and methods: To alveolus analysis, 80 rats were divided into Sealapex® and AH Plus® groups. Within each group, the sealer was subjected to either partial (incomplete homogenization—simulating handling failures) or total mixing (complete homogenization) over two periods of 7 and 30 days (n = 20). The maxillary incisor was extracted and a polyethylene tube containing the sealer was inserted. To quantify edema, 40 male rats were divided into four groups (n = 10). The animals received 2% Evans Blue intravenously, and either AH Plus® or Sealapex® was injected subcutaneously. The rats were euthanized after 3 or 6 hours and analyzed in a spectrophotometer (630 ?m). To analyze the subcutaneous tissue, 20 rats received polyethylene tube implants with the sealers in the dorsal area (n=10), then euthanized after either 7 or 30 days, and inflammation was evaluated according to an inflammatory cells score. Results: In the alveolar 7-day group, control group presented an inflammation score 1, while all other groups presented a score 2, except AH plus® total mix group (3). After 30 days, all groups presented a score 1. The edemogenic test showed less edema in Sealapex® groups (p < 0.5). In subcutaneous 7-day period, all groups presented score 2. In 30 days, all groups revealed score 1, except AH Plus® partial mix group (2). Conclusion: Regarding mixing of the sealers, there were no significant differences among the groups.
Keywords
AH Plus; Inflammation; Materials testing; Root canal filling materials; Sealapex.
Downloads
Downloads
Arquivos adicionais
Publicado
Como Citar
Edição
Seção
Licença
TRANSFERÊNCIA DE DIREITOS AUTORAIS E DECLARAÇÃO DE RESPONSABILIDADE
 
 
 
 Toda a propriedade de direitos autorais do artigo "____________________________________________________________________" é transferido do autor(es) para a CIÊNCIA ODONTOLÓGICA BRASILEIRA, no caso do trabalho ser publicado. O artigo não foi publicado em outro lugar e não foi submetido simultaneamente para publicação em outra revista.
 
 Vimos por meio deste, atestar que trabalho é original e não apresenta dados manipulados, fraude ou plágio. Fizemos contribuição científica significativa para o estudo e estamos cientes dos dados apresentados e de acordo com a versão final do artigo. Assumimos total responsabilidade pelos aspectos éticos do estudo.
 
 
 
 Este texto deve ser impresso e assinado por todos os autores. A versão digitalizada deverá ser apresentada como arquivo suplementar durante o processo de submissão.
 
						 
							 
			
		 
			 
			 
				





















 
     