Evaluation of the mandibular notch angle in three-dimensional virtual models as a parameter for determining age and sexual dimorphism
DOI:
https://doi.org/10.14295/bds.2018.v21i4.1621Abstract
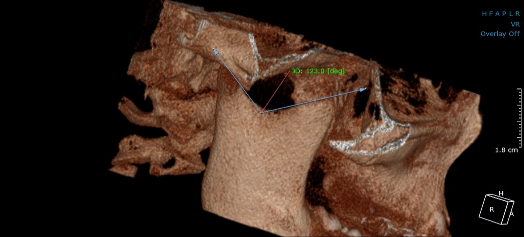
Objective: The objective of this study was to analyze the opening of the mandibular notch angle (MNA) as a possible tool for predicting sex and estimating age so as to contribute to forensic anthropological studies. Material and Methods: For this, 60 cone beam computed tomographs (CBCT) belonging to the UNESP ICT Radiology archive, were selected: 5 female and 5 male for each decade of life, beginning on twenties until there seventies, totalizing 30 female and 30 male. Three-dimensional models were generated for each exam and measurements were performed with three-dimensional angular measuring tools using OnDemand 3D software (Cybermed Inc., Tustin, CA, USA) on the MNA. The MNA was measured considering the posteriormost portion of the coronoid process, the lowest point of the mandibular notch, and the anteriormost point of the condylar process of the mandible. The Mann-Whitney test was performed with the intention of establishing the possible comparative relationships between the values of angular measurements and sex. Results: No statistically significant differences were found between mandibular incision measurements in both sexes, as well as when comparing the angular measurements of the mandibular incisions and the different age groups studied, when a Kruskall-Wallis test was performed. Conclusion: It was concluded that the structure being evaluated did not appear to be an instrument capable of contributing to forensic anthropology evaluations.
Keywords:
X-ray computed tomography; Forensic anthropology; Legal dentistry; Determination of age by skeleton; Analysis for determination of sex.
Downloads
Downloads
Published
How to Cite
Issue
Section
License
Brazilian Dental Science uses the Creative Commons (CC-BY 4.0) license, thus preserving the integrity of articles in an open access environment. The journal allows the author to retain publishing rights without restrictions.
=================





















